セレック(CEREC)とはCEramic REConstruction(セラミック修復)のこと。
セレックは、光学カメラとコンピューターを使い高品質のセラミック素材の詰め物・被せ物などを削りだし、審美性に優れたより天然の歯に近づいた自然な歯を表現します。
また、セラミック素材ですので金属アレルギーの心配もなく、最短1日1時間の治療も可能です。
既存の治療法は歯の形を取り、一週間ほどかかっていた治療時間を最短であれば即日に修復を可能にしています。
セレック3Dによる治療後使用される材質は歯と同様の固さで、保険の治療が6年で再治療が必要といわれていますが、セレックを用いた治療の実績は、なんと10年後でも85〜95%が機能します。
また審美性にも比較的優れています。
セレック3Dは世界で、最も普及してきているシステムです。

セレックによるセラミック治療
CEREC
セレックによるセラミック治療の概要

セレックって?
セレックの特徴
1 治療時間が短時間!!
ほとんどの症例は約時間で終わるほどスピーディー。回の通院で修復物をセットできるため、通院の手間もありません。

2 歯科技工所に依頼しないので経済的!
セレック治療では修復物を歯科医院で作製するため、歯科技工所に依頼することがありません。
人件費を削減できるため、比較的リーズナブルにご提供できるのです。
人件費を削減できるため、比較的リーズナブルにご提供できるのです。

3 審美的にも優れている!!
金属ではなく上質なセラミックを使っているので、自然で美しい見た目を実現できます。もちろん金属アレルギーの心配もありません。

こんな方にオススメ!
- 治療に時間をかけたくない方
- 白くてきれいな歯を希望される方
- 銀歯を自然な白さのものに替えたい方
- 金属アレルギーをお持ちの方
- 治療費用を抑えて審美歯科治療を受けたい方
- 高精度な治療を希望されている方

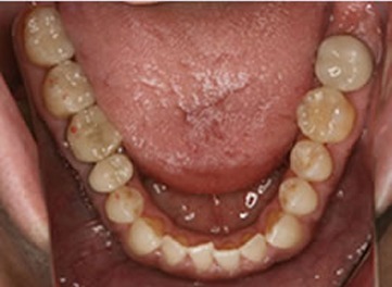
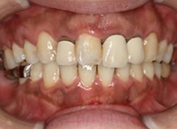
セレックの症例
症例1
全額的オールセラミック置換症例
銀歯がすっかり綺麗な白に。セレック修復した後ホワイトニンングを行った。

術前

術後

術前

術後

術前

術後

術前

術後
治療計画
患者様の主訴:金属の詰め物を全部セラミックに変えたい。入っている金属を全部順番に外しセラミック(セレック)に変えた。
リスクや副作用
セラミックに変える上で歯牙の切削量が多くなる可能性がある。虫歯にはなりにくいが、噛み合わせの力が強い場合、セラミックが割れたりする場合がある。
治療後について
金属の詰め物は、2次カリエス(虫歯)になりやすくカリエスになっても気づくのが遅くなる可能性がある。セラミックは汚れがつきにくくカリエス(虫歯)になりにくい。
費用
13本の治療総額:約80万円
セレックの症例
症例2 セラミックインレーによる症例

術前

術後
治療計画
患者様の主訴:金属の詰め物の中で虫歯になっている。金属の詰め物を外し中の虫歯を除去しセラミックインレーに変えた。
リスクや副作用
金属の詰め物は、2次カリエス(虫歯)になりやすくカリエスになっても気づくのが遅くなる可能性がある。セラミックは汚れがつきにくくカリエス(虫歯)になりにくい。
治療後について
セラミックに変える上で歯牙の切削量が多くなる可能性がある。虫歯にはなりにくいが、噛み合わせの力が強い場合、セラミックが割れたりする場合がある。
費用
治療費:約4万円
症例3

術前

術後
治療計画
患者様の主訴:前歯の被せの色が気になる。もっと綺麗な歯にしたい。金属の被せ物を外し、セラミックの被せをいれる。
リスクや副作用
前歯で硬いものを不用意に噛むと割れたりするので注意が必要。
治療後について
オールセラミックの被せは、長期間使用しても色が変わることがない。また透明感があり、本物の歯のように見えやすい。
費用
4本の治療費:約30万円
セレックの料金
義歯
- 被せ物 前歯 / オールセラミッククラウン
- 75,600円〜
- 被せ物 臼歯 / オールセラミッククラウン
- 64,800円〜
- 詰め物(インレー)/ オールセラミックインレー
- 43,200円〜
